Cabinet dentaire du Dr KEPPI REGARD
Chirurgien-Dentiste pratiquant exclusivement l'orthodontie à Clermont Ferrand
Cabinet dentaire du Dr KEPPI REGARD
Chirurgien-Dentiste pratiquant exclusivement l'orthodontie à Clermont Ferrand

37 Boulevard DUCLAUX
63000 Clermont Ferrand

La réussite d'un traitement

Traitement orthodontique : les règles du succès

Traitement orthodontique : les règles du succès

Nettoyage des brackets avec brossette interdentaire

Nettoyage des brackets avec brossette interdentaire

L'hygiène en orthodontie

L'hygiène en orthodontie

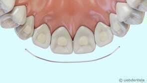
Fil de contention

Fil de contention

Contention de Hawley

Contention de Hawley

Conditions de réussite d'un traitement orthodontique

Conditions de réussite d'un traitement orthodontique

Le succès d’un traitement d’orthodontie dépend du diagnostic et des soins prodigués, mais également de votre coopération.

Affichage des articles 1-6 sur 10

Création par Webdentiste

Connexion