Cabinet dentaire du Dr KEPPI REGARD
Chirurgien-Dentiste pratiquant exclusivement l'orthodontie à Clermont Ferrand
Cabinet dentaire du Dr KEPPI REGARD
Chirurgien-Dentiste pratiquant exclusivement l'orthodontie à Clermont Ferrand

37 Boulevard DUCLAUX
63000 Clermont Ferrand

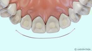
Fil de contention


video-play-icon

Articles similaires

Création par Webdentiste

Connexion